作者: 吳博貴 醫師 / 醫學博士
生物性重建
- 異體骨
- 冷凍自體骨
- 放射線自體骨
腫瘤型人工關節
金屬製人工關節
生物性重建+關節
異體骨、冷凍自體骨與放射線自體骨為主體,組裝人工關節。
一般生物性重建的骨骼移植,可以簡單的分成兩大類。
第一為骨骼移植。就是僅移植骨骼,不移植軟骨。
第二為骨骼-軟骨移植。也就是除了骨骼之外,更加上軟骨的移植。
兩者最大的差別,就是除了骨骼之外,我們在同時將『軟骨』也進行移植。這兩種移植的選擇,端視需要切除腫瘤的方式來作決定。我們可以見下面的圖示,會比較清楚。
骨骼移植。黃色部位為移植之滅活自體骨或異體骨。綠色部位為病患本身健康的軟骨
骨-軟骨移植。黃色部位為移植之滅活自體骨或異體骨。藍色部位為移植之滅活自體軟骨或異體軟骨
骨骼移植與骨-軟骨移植的差異
骨-軟骨移植對於相當靠近關節面的惡性骨腫瘤,是一種相當好的重建方式。『骨骼』的移植我們在前面的文章已經討論過,骨骼附近會新增血管,讓養分與細胞長入,最後成功的讓骨骼活化。但是『軟骨』與骨骼不同,軟骨本身缺乏血管供應,一旦軟骨細胞死亡或是軟骨結構被破壞,就非常不容易再生。
在異體骨-軟骨移植中,因為異體骨-軟骨存放在負八十度的冰箱中,因此軟骨細胞均已經失去活性。同樣的,在滅活自體骨-軟骨移植,因為滅活自體骨-軟骨在體外高劑量放射線或低溫冷凍治療過程中,也同樣的已經失去活性。因此,在病患使用多年之後,容易發生一個問題,便是關節軟骨的凋零,即軟骨退化。簡單的說,就是骨頭會自行修復,軟骨不會自行修復,所以軟骨容易壞掉!
一:初期之骨-軟骨移植,軟骨表面完整、正常。
二:因軟骨缺乏血流供應,導致軟骨受力處逐漸受損。
三:數年過後,整個移植軟骨大範圍的凋零。
四:最後,移植對側之軟骨也發生退化,導致肢體變形。
生物性重建合併人工關節
因此,為了避免日後發生這樣的問題,我們可以使用一種非常特殊的手術方式,我們使用生物性異體骨或是滅活自體骨來重建病患的骨缺損,同時使用一般的人工關節(非腫瘤型人工關節)來進行軟骨的替換。這種合併兩種重建手術,我們稱之為生物性重建合併人工關節(Bone-Prosthetic Composite)。生物性重建合併人工關節的優點,在於結合
1. 生物性重建的優點:重建病患的骨本與生物性的癒合。
2. 人工關節的優點:避免日後軟骨凋零。
然而。生物性重建合併人工關節的手術過程,非常的複雜,且困難度相當的高!大致的過程,我們可以用下面的圖作為說明:

學術研究
至西元2009年至2012年,我們臺北榮民總醫院骨骼肌肉腫瘤研究中心一共進行了43位生物性重建合併人工關節之病例。於2014年,我們將我們這些臨床經驗,發表在知名的骨科醫學期刊『The Journal of Arthroplasty』中。


生物性重建合併人工關節病例分享:
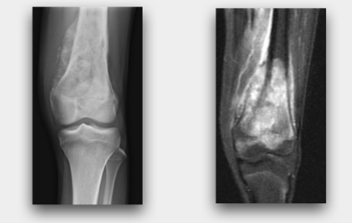
以下的病例,為我們一位14歲遠端股骨骨肉瘤的孩子,我們給予廣泛性腫瘤切除後,再進行生物性重建合併人工關節的重建。
以下的病例,為我們一位14歲遠端股骨骨肉瘤的孩子,我們給予廣泛性腫瘤切除後,再進行生物性重建合併人工關節的重建。
一:病患手術前X光與MRI。顯示腫瘤位於膝蓋上方,並侵犯至生長板與骨骺。
二:手術行腫瘤廣泛性切除。
三:病患的骨骼,以低溫液態氮冷凍治療。同時將軟骨切除,進行人工關節置換。
四:病患手術後X光。可以見得骨骼癒合完全。